
ロケーター義歯とは入れ歯をしっかりと固定する方法の1つです。
安定性が抜群で、噛む力も強いので、「食事中に入れ歯が外れやすい…」「会話中に入れ歯がずれる…」などのお悩みを解決する画期的な方法です。
インプラントロケーターとも呼ばれ、あごの骨に埋入したインプラントと入れ歯をロケーターというパーツで固定させることでしっかりと安定します。

1. あごの骨にインプラントを埋め込み、そこにロケーターを装着します。凸凹でいうとインプラント側が凸になります。
2. 入れ歯の裏側に対になる留め具を埋め込みます。凸凹でいうと入れ歯側が凹になります。
3. インプラントに取り付けたロケーターアバットメントと入れ歯に装着したキャップがパチッとはまり、入れ歯がしっかりと固定されます。
4. 入れ歯を装着していただいて、しっかり安定して噛む力が出ているか、違和感がないかなどを確認します。
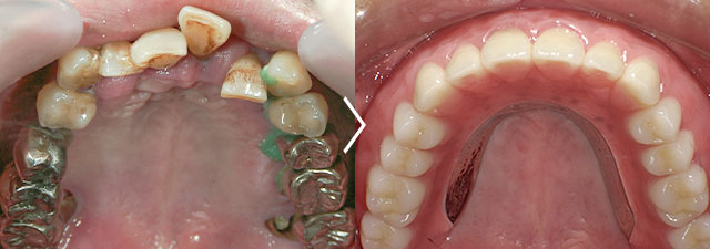
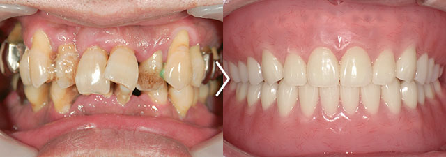
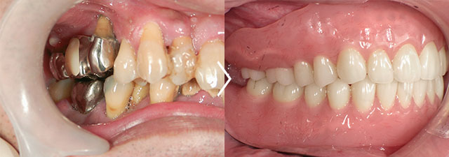
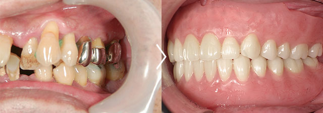
ロケーターを使用したインプラントオーバーデンチャーの症例です。上下ともインプラントを埋入してロケーターを装着し、義歯を固定しています。
インプラント本体250,000円(税抜)×6、インプラント二次手術10,000円(税抜)×2、ロケーター85,000円(税抜)×6、ガイドサージェリー上顎60,000円(税抜)・下顎55,000円(税抜)、義歯(チタン床)320,000円(税抜)×2
インプラントは自由診療なので保険適応の治療と比べて治療費が高額になります。
インプラントが骨と定着するのを待つ期間が必要なので治療期間が長くなります。
手術後に腫れ・痛みが出ることがあります。
※症例紹介の費用は掲載時点の金額です。治療費用は改定される場合がありますので、最新の料金はお問い合わせください。
入れ歯がずれたり、外れたり、噛みにくかったり…そんなお悩みを解決するのがロケーター義歯です。
垂直方向の安定性に優れているので外れたり、ずれることがなく、噛む力が強いので食事も快適になります。

あごの骨は歯が抜けて刺激がなくなると痩せてしまいますが、ロケーター義歯はインプラントを埋入するため、骨吸収を防ぐことができます。
ロケーター義歯は総入れ歯・部分入れ歯共に可能です。
入れ歯をするには歯が生えていたところの歯肉の盛り上がり部分(顎堤)が必要ですが、歯を失って時間が経つと徐々に顎堤が減少していきます。
そうすると顎堤と入れ歯が吸着しにくくなり入れ歯が固定されないため、入れ歯治療が難しくなってしまいます。
ロケーター義歯は固定方法が全く異なり、ロケーターによって入れ歯と歯ぐきをぱちっと固定するので治療が可能になります。
ロケーター義歯は普通の入れ歯と同じように取り外してのお手入れが可能で、いつも入れ歯を清潔に保つことが出来ます。

ロケーター義歯はインプラントの埋入が最小2本で治療が可能ですので、体への負担を押さえることができます。
総入れ歯の場合すべてをオールオン4の場合は最低4本、通常のインプラントで全部の歯を作ろうとすると14本必要になります。
2本のインプラント埋入ですが、十分な力を発揮してくれますのでご安心ください。
現在使用中の入れ歯をロケーター義歯として使用することが可能ですので、入れ歯作成の治療期間が必要なく、全体の治療期間が短くなります。

上の図は上あごの入れ歯です。上あごの保険の入れ歯には入れ歯の中央に口蓋(こうがい)という部分があります。
この口蓋は保険の入れ歯の吸着度や強度のために必要なのですが、吐き気や違和感の原因になってしまいます。
ロケーター義歯はこの部分をくり抜くことができるためえずきにくいです。ロケーターで強く固定されているので口蓋をくり抜いてもしっかりと安定します。また、違和感も少なく、発音もしやすくなります。
また、歯ぐきを覆う面が少ないことも吐き気の改善につながります。
金具のバネ(クラスプ)を使わずに固定できるため審美性に優れていますので、入れ歯の見た目が気になる方におすすめです。

埋め込むインプラント本数が最小2本ですので、オールオン4やインプラントに比べると費用の負担が軽減できます。
通常のインプラントは固定されていますが、ロケーターアタッチメントは取り外せます。
取り外しが可能なのでケアがしやすいというメリットの反面、入れ歯を取り外してのお手入れが面倒という方には適しません。
ロケーター義歯はしっかり噛むことができますが、インプラントと比べると少し噛む力が劣ります。
通常の入れ歯と比べると咬合力は格段にアップします。
ロケーター義歯はインプラント手術が必要になりますので、お体の状態などによって治療が難しい場合があります。
あごの骨と結合したインプラントが固定源になるのでしっかりと噛むことができます。
インプラントとロケーターアタッチメントで固定された入れ歯は、ずれたりすることがなく安定しているので食事もよく噛めます。
現在お使いの入れ歯の内側に留め具を取り付けることでロケーター義歯として使用することができます。
入れ歯でお困りの方はぜひご相談ください。
インプラントの埋入が必要になります。インプラントの本数は2本必要ですが、全てインプラントで治療をしようとすると少なくとも4本の埋入が必要になります。
ロケーターインプラントは埋入本数が少ないので身体的にも費用的にも負担が抑えられます。

治療に伴う痛みについても心配されるかと思いますが、実際インプラント手術を受けられた多くの方が「思っていたよりも痛くなかった」という感想をもたれます。
当院では痛みの少ないインプラント治療を心がけておりますのでご安心ください。
当院でロケーター義歯(下あご)をされた患者さんの10年後生存率は96%と高い数字になっています。
またロケーター義歯を長持ちさせるためにメンテナンスにも力を入れております。
総入れ歯の方でも部分入れ歯の方でもロケーター義歯治療が可能です。
どちらの場合も安定感が増して、しっかり噛めるようになるので入れ歯のがたつきやずれ、話しづらさなどで困りの方にはおすすめの治療法です。
ロケーター義歯についてのご質問・ご相談は無料初診カウンセリングでドクターが詳しくお答えいたします。お気軽にご予約ください。