当院の治療例・症例をご紹介いたします。
※症例紹介の費用は掲載時点の金額です。治療費用は改定される場合がありますので、最新の料金はお問い合わせください。
※点滴麻酔(静脈内鎮静)はクリニックによって対応していない医院もございます。事前にお問い合わせください。
【目次】





インプラントオーバーデンチャーの症例です。上下ともインプラントを埋入してロケーターを装着し、義歯を固定しています。
インプラント本体250,000円(税抜)×6、インプラント二次手術10,000円(税抜)×2、ロケーター85,000円(税抜)×6、ガイドサージェリー上顎60,000円(税抜)・下顎55,000円(税抜)、義歯(チタン床)320,000円(税抜)×2
インプラントは自由診療なので保険適用の治療と比べて治療費が高額になります。
インプラントが骨と定着するのを待つ期間が必要なので治療期間が長くなります。
手術後に腫れ・痛みが出ることがあります。




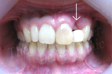
右上3番をインプラントで治しました。
インプラント 380,000円(税抜)
インプラントは自由診療なので保険適用の治療と比べて治療費が高額になります。
インプラントが骨と定着するのを待つ期間が必要なので治療期間が長くなります。
手術後に腫れ・痛みが出ることがあります。
主訴
・歯がぐらぐらで噛めない状態なので、全部抜いてインプラントにしてほしい。


歯周病と根尖病巣が大半の歯で進んでいたため、上顎は2本を残して全て抜歯しました。
現在、上顎インプラントのメインテナンスとともに、下顎の歯をなるべく残すよう歯周病治療継続中。

上顎をインプラント8本を用いてボーンアンカード・ブリッジで治療しました。

上顎を8本のインプラントを用いてボーンアンカード・ブリッジで治療しました。下顎は歯周病治療中です。
ボーンアンカード・ブリッジ(インプラント8本) ¥3,500,000(税抜)
静脈内鎮静 ¥80,000(税抜)
インプラントは自由診療なので保険適用の治療と比べて治療費が高額になります。
インプラントが骨と定着するのを待つ期間が必要なので治療期間が長くなります。
手術後に腫れ・痛みが出ることがあります。
81歳 男性
主訴
「今まで入れ歯を入れたことがなく、前歯が削れて噛みにくい。」という症状でご来院されました。











虫歯や歯周病により多くの歯を失っておられました。
上顎にインプラントを7本埋入し、セラミックをかぶせました。
下顎にはインプラントを5本埋入し、セラミックをかぶせました。
インプラント ¥3,000,000(税抜) 内訳:¥250,000(税抜)×12
チタンアバットメント ¥720,000 内訳:¥60,000(税抜)×12
ハイブリッドセラミック冠28本 ¥1,960,000(税抜)
仮歯28本 ¥360,000(税抜)
静脈内鎮静4回 ¥320,000(税抜)
インプラントは自由診療なので保険適用の治療と比べて治療費が高額になります。
インプラントが骨と定着するのを待つ期間が必要なので治療期間が長くなります。
手術後に腫れることがあります。
メンテナンスを怠るとインプラント周囲炎にかかるリスクが高くなる。
骨移植後インプラントを埋入
43歳女性
主訴
右上1 歯根破折。
かかっていた歯科医院で歯が折れているので抜歯を勧められた。
現在変な仮歯なので早く治療してほしい。
初診時の写真 2014.8
この歯の根っこが折れているのでかかりつけ医で抜歯を勧められました。

抜歯時の写真
抜いた歯 穴が開いている

この歯が折れてたので抜きました
補綴後1年/補綴後4年での口腔内


治療方法
歯の根が折れていたため、抜歯して骨移植、歯肉移植を行い、インプラントを埋入しました。
費用
骨移植 ¥100,000 (税抜)
歯肉移植 ¥80,000 (税抜)
静脈内鎮静2回 ¥160,000 (税抜)
インプラント ¥250,000 (税抜)
セラミックアバットメント ¥70,000 (税抜)
ジルコニアセラミック冠 ¥140,000 (税抜)
リスク
インプラントは自由診療なので保険適用の治療と比べて治療費が高額になります。
インプラントが骨と定着するのを待つ期間が必要なので治療期間が長くなります。
手術後に腫れることがあります。
骨移植後インプラントを埋入
主訴
かかっていた歯科医院に前歯を抜かれ、歯茎と骨が陥没した。
ブリッジを勧められたが陥没したこのままではひどい結果になりそう。
初診時の写真 2009.7
かかりつけの医院で歯を抜かれ、歯ぐきと骨が陥没しています。
(このまま単純にブリッジをすると見た目が非常に悪いです。)


骨移植前/骨移植後


術前/術後7年


治療方法
陥没している部分に骨移植を行い、骨を増やしました。その後インプラントを埋入して、セラミックのかぶせ物を取り付けました。
費用
骨移植 ¥100,000 (税抜)
歯肉移植 ¥80,000 (税抜)
静脈内鎮静 ¥80,000 (税抜)
インプラント ¥250,000 (税抜)
セラミックアバットメント ¥70,000 (税抜)
ジルコニアセラミック冠 ¥140,000 (税抜)
仮歯 ¥30,000 (税抜)
リスク
インプラントは自由診療なので保険適用の治療と比べて治療費が高額になります。
インプラントが骨と定着するのを待つ期間が必要なので治療期間が長くなります。
手術後に腫れることがあります。
境界型糖尿病及び狭心症のコントロールのため静脈内鎮静及び
ガイドを用いた症例
患者さん:60代男性
主 訴:インプラント希望
現病歴:異型狭心症(10年前)アダラート
小児用バファリン
リピトール
境界型糖尿病(血糖値 110 HbA1c
5.5〜6.0)
画像所見

上顎左側7番を除いて欠損
右下6番欠損
下顎前歯歯周病
治療方針
狭心症のコントロールのため、麻酔医師付き添いで静脈内鎮静下をおこない、
出血傾向と、糖尿病による易感染に対応するためガイドを用います。
初期固定が良好ならば即時荷重をおこないます。
ガイドを使用して埋入シュミレーションおよびサージガイドの発注


インプラント埋入シュミレーション

術後パノラマレントゲン写真

シュミレーションとほぼ同じ位置に埋入できました。

サージガイド

サージガイドはCTのデータから作製された外科用ステントのことです。
サージガイドの装着
初期トルクは上顎右側の3本が35Nで左上の2番が40N、
左側後方インプラントが45Nであったので即時荷重を行った。



今回の患者は狭心症にその予防薬による出血性素因と境界型糖尿病の基礎疾患がありました。手術中の狭心症発作のリスク、手術による出血のリスク、術後感染のリスクをふまえ、静脈内鎮静下によるガイドの使用を選択しました。
麻酔医による術中コントロールで狭心症のリスクは軽減できます。
ガイドによるフラップレス手術は切開による術後出血、創部の感染のリスクを軽減します。また、短時間で低侵襲な治療なので患者の体への負担は軽減できます。
所要時間は、ガイドの装着と鎮静麻酔の導入に30分、埋入手術に60分、即時荷重の仮歯の作製に2時間かかりました。
使用インプラントはノーベルバイオケア社のスピーディーグルービーでした。
今後はインプラント埋入のスキルを向上させて、事前に用意した上部構造を術直後の装着する、いわゆるTeeth‐in‐an‐Hourをめざすつもりです。
左下56にインプラントを2本埋入した症例
患者さん:60代男性
主 訴:義歯不適合による咬合不全
現病歴:なし
治療方針:義歯不適合による摂食障害のために体重減少。インプラントによる臼歯部の咬合回復を行う
術前レントゲン写真

両側下顎臼歯部欠損
術中

ドリリングの方向や位置を確認しています
術後レントゲン写真

考察
骨量の不足している部分にβ‐TCP製剤のオスフェリオンを填入し、左下5番6番相当部に
カルシテックインプラントφ3.75×10mmを通常埋入しました。2本とも初期固定は良好でした。
今後、右下56にもインプラントを行う予定です。
治療方法
左下5番、6番に2本のインプラントを埋入しました。
費用
インプラント ¥500,000(税抜) 内訳:¥250,000(税抜)×2
チタンアバットメント ¥120,000(税抜) 内訳:¥60,000(税抜)×2
オールセラミック冠 ¥200,000(税抜) 内訳:¥100,000(税抜)×2
リスク
インプラントは自由診療なので保険適用の治療と比べて治療費が高額になります。
インプラントが骨と定着するのを待つ期間が必要なので治療期間が長くなります。
手術後に腫れることがあります。
インプラント後は周囲炎を防ぐための定期健診(メンテナンス)が必要になります。