

平成元年より
累計0本の
インプラントを行った
医院なので確実に安心



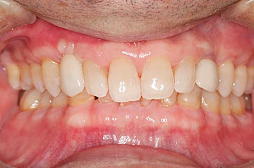
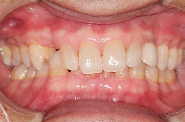
インプラントは歯を失ったところに人工の歯を作る治療で、チタン製の人工歯根を顎の骨に埋め込んで、そこに人工歯を装着します。
見た目も噛み心地も自分の歯と変わらないため「第二の永久歯」とも呼ばれる治療方法です。
当院では様々な症例や治療法に対応しています。
![]()
私はインプラントを成功させるにはどうしたらいいかを、
365日、一日中(朝から晩まで)考えています。
大阪インプラント総合クリニック
総院長 松本正洋

インプラントの治療で一番大切なことは実績のある医院を選ぶことです。実績があるということは信頼できるということです。当院は34年で45,000本以上のインプラントを行いましたので、確実に患者さんに信頼されています。
手術の事故もなくて安心できます。


インプラントは素晴らしい治療法ですが、手術が痛かったら嫌ですよね。当院は痛みがでない工夫をたくさんしています。患者さんからも痛くなくて良かったといつも言って頂いています。
私達は痛みの無い手術をすることに大変注力しています。

点滴麻酔をして寝ている間に手術が終わります。
インプラント手術に対する恐怖心が強い場合は、静脈内鎮静法を併用することで、さらに負担を抑えて治療を受けることが可能です。
静脈内鎮静法は全身麻酔とは異なり、うたた寝のような状態になり、オペ中の痛みや緊張による血圧の急激な上昇などを抑えることを目的としています。


インプラントを、埋め込む位置と方向をあらかじめCTでシミュレーションします。
シミュレーション通りにインプラントを埋め込む為にガイドを使うことで、インプラントが確実に良い位置に埋め込まれます。
場合によっては歯ぐきを切らずに手術ができるので、患者さんの手術の負担がかなり減ります。

今や、デジタル全盛期ですが、デジタル無しの治療はあり得ません。私どもはデジタルを駆使し、インプラントを埋め込む位置、角度、長さなどを正確に診断し、また被せ物の治療にも活かしています。
デジタルを駆使することによって、より正確で確実なインプラント治療を行っています。
骨が無いからインプラントができないと言われた方も大丈夫です。骨を増やす技術は確実に確立されており、私どもは日常ルーティンに行っております。

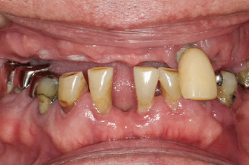
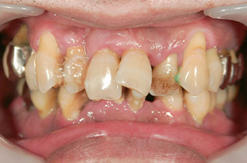
ほとんどの歯が悪くて、抜かないと行けない様な方に対して行う治療法です。全部の歯(10〜12本)を作るのに、たった4本のインプラントを使って行います。この方法は、手術や費用の負担が少ないだけでなく、本当によく噛めて患者さんに喜んで頂いています。

入れ歯とインプラントを併用した治療法で、総入れ歯の様な方に行います。あごに2〜4本のインプラントを埋め込んで、そこに磁石やボタンを取り付けて入れ歯を固定します。この方法は、入れ歯がかなり強力に固定され、お食事にほとんど不自由がなくなるため、選択される患者さんも多いです。私どもも自信を持って治療しています。
全ての歯をインプラントで作ると手術や費用でご心配がある場合には非常に有効です。

費用が安い医院もあると思います。費用が安い理由がコスト削減とか、大量仕入れとか言われてると思いますが、実際には安いインプラント(同じ有名ブランドでも安価なタイプ)を使っていたり、何よりインプラントの勉強にお金をかけて無い可能性が非常に高いです。
当院は、インプラントの勉強に時間とお金も十分にかけています。そして費用は安すぎるということは無いですが妥当で、保証も10年ありますので安心して頂けます。

インプラントの本体に関して、10年保証をしています。インプラント治療に実績と自信があるからです。
ただ、インプラントがダメになる理由の大半は歯周病ですので、そうならないよう、メンテナンスには必ずお越し頂きたいです。
当院のメンテナンスの特徴は、インプラントだけではなく、残りの天然の歯も守ることを重要視していますので、お口全体の健康が長期に渡って保てます。
インプラントの標榜を掲げてる医院はたくさんあります。ただ、掲げてはいても実際には年に数例しか行っていない医院が大半です。
そういう医院は経験が少ないため、失敗とまでは行かなくても治療が不十分になりがちです。
当院は、インプラントの症例数が非常に多く、効果のある治療を行っています。また、年齢が高い歯科医師が良いわけではなく、若い歯科医師でも経験数が多い場合もよくあります。

「餅は餅屋」ということわざがありますが、正にインプラントはその言葉があてはまります。インプラントは実績・経験の多い歯科医院で治療されてくださいね。


〒530-0001
大阪市北区梅田1丁目1ー3ー1800
大阪駅前第3ビル 18階
| 診療時間 | 月 | 火 | 水 | 木 | 金 | 土 | 日 |
|---|---|---|---|---|---|---|---|
| 9:00〜13:00 | ○ | ○ | ○ | ○ | ○ | ○ | ○ |
| 14:00〜20:00 | ○ | ○ | ○ | ○ | ○ | ○ | ○ |
休診日:祝日
※休診日・診療時間は医院によって異なります。

大阪駅より徒歩5分


梅田クローバー歯科クリニック


梅田クローバー歯科アネックス


カトレア歯科・美容クリニック


梅田茶屋町クローバー歯科


なんばクローバー歯科


クローバー歯科あべの天王寺院


心斎橋クローバー歯科


京橋クローバー歯科

インプラントは歯を失ったところに人工の歯を作る治療で、チタン製の人工歯根を顎の骨に埋め込んで、そこに人工歯を装着します。
被せ物(補綴)はセラミックなどでできており、天然の歯と遜色のない色合いに近づけることができます。また、入れ歯のように他の歯に負担がかかりません。
また、当院では患者さんの安全のために世界的にシェアの大きいメーカーのインプラントのみを使用しています。
手術中は麻酔を確実に効かせるため、ほとんど痛みはありません。静脈内鎮静法や笑気麻酔を併用することで、リラックスした状態で治療を受けていただけます。術後の痛みも鎮痛剤で十分抑えられる程度です。
通常は3ヶ月〜12ヶ月程度です。骨の状態や治療内容によって異なりますが、抜歯即時インプラントや骨造成の有無によって変わります。診断後に詳しい治療計画をご説明します。
インプラント1本あたり38万円〜です。2本でブリッジにする場合は83万円〜となります。詳細は症例や治療計画により異なるため、無料カウンセリングでご相談ください。
当院ではインプラント本体に10年間の保証を設けています。上部構造(かぶせ物)は3年間の保証です。保証を受けるためには、定期的なメンテナンスにお越しいただく必要があります。
はい、当院では他院で断られた方のセカンドオピニオンを歓迎しています。骨が少ない方でも、骨造成(GBR法やサイナスリフト)を行うことで治療が可能な場合がありますので、まずはご相談ください。
土曜日も夜8時まで診療しています。
梅田院・なんば院・天王寺院・京橋院は日曜日も診療しています。