インプラント治療は、歯を失った場合に選択できる方法の中でも、見た目や機能性に優れた治療法です。

インプラントとは、歯を失ったところの顎の骨の中に、人工の歯を埋め込む治療法です。
人工歯根とか、第二の永久歯とも言われています。前歯から奥歯まで治療できます。
歯を失った場合の治療法には入れ歯やブリッジもありますが、インプラントにはさまざまなメリットがあります。
当院では、世界中のインプラントの中から、最もその患者さんに適したインプラントを採用しています。
歯周病に最もなりにくいインプラントとか、最も強度が強いものとか、骨とくっつくのが最も早いとかです。
「入れ歯が合わない」「ブリッジができない」「見た目や噛む機能で悩んでいる」など、歯を失った際のお悩みにはインプラント治療という選択肢があります。インプラントは、天然の歯に近い見た目と噛む力を目指せる治療法で、さまざまなお悩みに対応できます。

入れ歯で以下のようなお悩みをお持ちの方には、インプラント治療という選択肢があります。
インプラント治療でこれらのお悩みを改善できる可能性があります。
また、入れ歯は細菌や汚れが付きやすいため口臭の原因となることがあります。インプラントは自分の歯と同じようにメンテナンスができますので、入れ歯を使用していて口臭が気になる方にもおすすめです。

支えとなる歯や奥歯がないのでブリッジをができない、健康な歯を削らずに治療したいという方は、インプラントをおすすめします。
インプラントは独立して顎の骨に固定されるので支えとなる歯は必要ありませんし、他の歯を削る必要もありません。
また、以前ブリッジで治療した歯が外れてしまって、再度ブリッジをすることがむずかしい場合にはインプラントで治療をすることができます。
歯周病や虫歯以外にも交通事故や転倒などで突然歯を失ってしまうことがあります。
そういった場合もインプラント治療が可能です。(先に歯周病治療を行う場合があります。)
人前に立って話すお仕事をされている場合は、見た目や話しやすさが大切なポイントだと思います。
インプラントはご自身の歯の形や色に合わせて作りますので審美性に優れています。
また、入れ歯での発声や発音に不自由さを感じている方にもおすすめです。

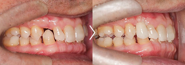
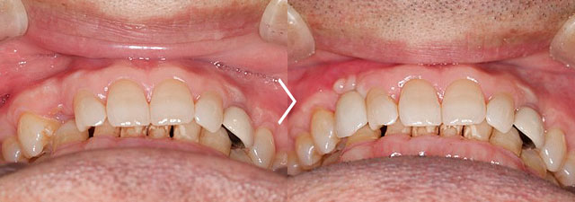
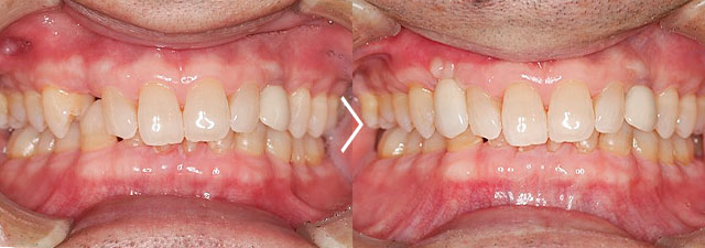
「インプラントって最近よく聞くけどどんな方法なんですか?」という質問をよくいただきます。インプラントとは、歯周病で歯が抜けてしまったり、虫歯が進行して歯を抜かなければいけなくなってしまった時に人工の歯をつくる方法のひとつです。
見た目も噛み心地も自分の歯と変わらないため「第二の永久歯」とも呼ばれる治療方法です。
スウェーデンのブローネマルク教授が1965年に世界で初めてインプラント治療を行いました。現在では歯が失ってしまった方にとって大きなメリットのある歯科治療として世界中で行われるようになりました。
顎の骨が少なく手術が難しい方でも、骨を増やす治療(サイナスリフト・ソケットリフト、GBR法など)によって治療を行えるケースが増えています。以前インプラントができないと言われた方もぜひ一度ご相談ください。

まず歯の根っこの代わりになる人工の歯根を顎の骨に埋め込みます。その後、土台を取り付けてセラミックなどでできた人工の歯をかぶせます。
歯を失った場合の治療としては、他には入れ歯やブリッジという方法がありますが、インプラントはそれらと比較するといろいろなメリットがあります。
【しっかり噛める】
インプラントは骨と結合するため自分の歯のように噛むことができます。
【他の歯を削らなくていい】
ブリッジは両隣の歯を削って人工歯と連結させて固定しますが、インプラントは隣の歯を削りません。
【審美性が高い】
インプラントは入れ歯と違って、両隣の歯にバネをひっかけて支える必要がありません。前歯の場合も天然歯の自然な美しさを再現できます。
インプラントは、歯を失った部分の顎の骨にチタン製の人工歯根を埋め込み、その上に人工の歯を装着する治療法です。天然歯とは構造が異なりますが、見た目や噛み心地は非常に自然で、まるで自分の歯のように使えるのが特徴です。
大きな違いとして、天然歯には「歯根膜」というクッションの役割を持つ組織があり、噛んだ時の力加減を細かく調整できます。一方、インプラントには歯根膜がないため、噛み心地がやや硬く感じることがありますが、しっかりと噛む力を回復できるため、食事の満足度は高く、多くの方に選ばれています。

また、インプラントはブリッジのように両隣の歯を削る必要がなく、周囲の健康な歯を守れる点も大きなメリットです。見た目も非常に自然で、口を開けてもインプラントとは気づかれにくい仕上がりになります。
ただし、インプラントには外科手術が必要であり、治療期間や費用も天然歯とは異なります。また、インプラントは虫歯にはなりませんが、歯周病(インプラント周囲炎)にはかかる可能性があるため、定期的なメンテナンスが欠かせません。
天然歯とは異なる部分もありますが、見た目・機能性・快適性の点で非常に優れた治療法です。失った歯を補う選択肢として、自信を持っておすすめできる方法のひとつです。

インプラントの噛む力は、天然の歯より強いです。焼肉など硬い食べ物も、しっかり噛めます。
自分の歯がもう一度生えてくる感じに治療ができるので、人工の歯だということが全くわかりません。
インプラントはよく噛めるので、たくさん「噛むという仕事」をしてくれるので、残りの天然歯の負担を大幅に減らすことが出来ます。結果的に、天然の歯を守り、長持ちになります。
ブリッジの場合は失った歯の両サイドの歯を削らないといけませんが、インプラントは全く削りません。歯を削らないで済むということは、その歯に負担がかからない為、歯の寿命が大幅に伸びることになります。
この削らないというメリットは非常に大きいです。
入れ歯は、天然の歯にバネをひっかけて支えます。
バネのかかった歯は負担がかかる為、数年でグラグラになったり、負担に耐えられなくて、抜かなくてはいけなくなることが多いです。
それを繰り返していると、どんどん歯が減っていき、総入れ歯に近づきます。
インプラントはこの悪い流れを断ち切ります。
入れ歯は、食事の後に毎回取り外して洗わないといけませんが、インプラントは完全固定式なので、そのわずらわしさが全くありません。

1回法とは、インプラントを骨の中に埋め込んだ時に、インプラントの頭の部分を歯茎の上に出しておく方法です。
この方法ですと、インプラントが骨とくっついた後に、そのまま直接かぶせ物の型取りができるので、非常に楽な手術方法です。
この1回法は、2次手術がいらず、1回で手術が終わりますし、比較的簡単に手術ができるというメリットがあります。
主に、奥歯とか審美性があまり問われない場所に行います。
インプラントの頭を歯茎の上に出すので、かぶせ物とインプラントの境目が歯茎の中に入らない為、歯茎の中からかぶせ物が立ち上がってるという感じが出せないからです。
また、骨が少ない場合はインプラントをする時に、骨を増やさないといけないので、そういう時は2回法が適応になります。

2回法とは、インプラントを埋め込む時に、インプラントを完全に骨の中に埋め込む方法です。
主に、前歯や骨を増やす必要がある時などに行いますが、現状では、主流の手術方法です。
前歯の場合は審美性が非常に重要視されます。
2回法はインプラントを骨の中に完全に埋め込んで、そこに土台を連結して、土台の上にかぶせ物をするのですが、かぶせ物が歯茎の中から立ち上げることが出来るため、本物の歯のように美しくできます。
また、骨の量が少なくて骨を増やす手術(GBR)を併用する場合も、インプラントをしてその周りに、骨の代わりになる材料(骨補填材)を置いてから、歯茎の中に完全に埋め込まないといけない為に2回法が適応になります。
2回法は、歯茎に完全に埋め込む為に、2次手術と言ってインプラントの頭を歯茎の上に出す手術が必要になります。
ただ、2次手術は手術という名前はついてますが、非常に簡単な処置です。
2回法で手術をした場合は、インプラントを歯茎の中に埋め込む為に、インプラントの頭を歯茎の上に出す手術をしないといけません。それを2次手術と言います。
手術と言うと大変なイメージを持たれると思いますが、実際には麻酔をした上で歯茎を少し切るだけなので、手術というよりは処置という感じです。
インプラントを埋め込んで3か月程度経ってから行います。そのあと、切った歯茎が落ち着いたら、かぶせ物の型取りをしていきます。
【費用】10,000円+消費税
【リスク・副作用】手術後に腫れ・痛みが出ることがあります。
1回法なのか、2回法なのかはその患者さんによってケースバイケースで違いますが、現状は2回法の方が世界的にもメジャーです。2回法は、骨がない症例や前歯のような審美性が大事な場所など、どこでも適応できるからです。
ただ、1回法もメリットがあり、奥歯で骨がしっかりある場合などは、手術も治療も比較的簡単にできます。
即日インプラントは、即時荷重インプラントとも言われ、インプラントを埋め込むと同時に仮歯のかぶせ物を入れる方法です。 これをしますと、患者さんにとっては、すぐに歯が入ってお食事も出来るため、非常にメリットが大きいです。
一般的には、総入れ歯や歯が全部ダメな方にインプラントを4~6本埋め込んで、その日のうちに10〜12本分のかぶせ物をする場合に用いられることが多いです。(オールオン4、オールオン6という治療法です)

一般的なインプラントは、骨の中に埋め込んでから3か月程度待ってから歯を入れますので、即日インプラントは非常に価値の高いインプラントです。
ただ、条件もあって、骨の量がある程度あること、骨の質が柔らかすぎないこと、かぶせ物を連結した方がいい場合など色々あります。この治療は、技術力と設備力の高い医院しかできない治療です。
当院では、たくさんの症例を行っていますのでどうぞお気軽にお尋ねくださいね。

歯を失った時に、行う治療法はインプラントだけではなく、入れ歯やブリッジがあります。
それぞれ、利点欠点など特徴がありますので、ご自身に合った治療法を選ぶことが大事です。下記に、インプラント、入れ歯、ブリッジの違いをわかりやすく表にしていますので参考にされて下さい。
インプラント・ブリッジ・入れ歯の最大の違いは、歯を支える仕組み(支える場所)です。インプラントは顎の骨で支え、ブリッジは両隣の歯で支え、入れ歯は粘膜や残った歯(バネ等)で支えます。
この「支え方」の違いが、噛み心地・安定感・周りの歯への負担の差につながります。
もちろん実際の治療では、我々はプロとしての最適な方法をわかりやすくご説明します。
| インプラント | ブリッジ | 入れ歯 | |
|---|---|---|---|
![]() |
![]() |
![]() |
|
| 治療方法 | 歯を失った顎の骨の中に直接人工的な歯の根っこを埋め込みその上に人工の歯をかぶせます。 | 歯を失った部分の両サイドの歯を削り、橋渡しの様につながったかぶせ物をします。 | 部分入れ歯は、金属のバネを残った天然の歯に引っかけて支えます。総入れ歯は人工の歯茎ごと顎に装着します。 |
| 支える仕組み(固定方法) | 顎の骨に土台(インプラント体)を入れて固定し、その上に人工歯を装着します。 | 失った部分の両隣の歯を支えにして、つながった被せ物で固定します(支えの歯を削ります)。 | 取り外し式です。粘膜の上にのせたり、残った歯にバネ等で引っかけて支えます。 |
| 見た目 | 天然の歯と殆んど見分けがつかないくらい審美性の高い歯を入れますので、歯を入れてることを知られる心配はまずありません。 | 保険が効くタイプのブリッジはかぶせ物がプラスティックや金属になる為、審美性が落ちます。セラミックの場合は綺麗な歯が入りますが自費診療となり費用がかかってしまいます。 | 部分入れ歯は、金属のバネを天然の歯に引っかけて使用するため、口を開けたときに見えてしまう可能性があります。 |
| 噛む力 | インプラントと骨が強固にくっつく為に、噛む力は天然の歯より強いです。また、噛む力が重要とされるスポーツをしている方にもおすすめです。 | 天然の歯よりも多少劣りますが、結構噛めます。 | 天然の歯の20%しか噛む力が出ないので、硬い物は食べにくいです。ただ、慣れてくると何とか慣れます。 |
| 味覚への影響 | 味覚への影響はありません。食べ物の味がしっかりとわかります。 | インプラント同様、味覚へは影響ありません。 | 口の中の粘膜が入れ歯によって覆われるので、熱い物や冷たい物を食べても温度を感じにくくなったり、味がわかりづらくなります。 |
| 他の歯への影響 | 健康な歯を全く削りませんので、他の歯へは全く影響が無いどころか、他の歯の仕事を減らして、長持ちさせてくれる効果もあります。 | 両サイドの健康な歯を削らないといけないです。 | 残った歯にバネをかけるのでバネのかかる歯に負担が掛かります。 |
| 料金 | 保険が効きませんので、1本あたり41万円〜程度の費用がかかります。 | 保険が効きますので、数千円〜2万円程度の費用で済みます。自費診療のセラミックのブリッジの場合は27万円以上かかります。 | 保険が効きますので、数千円〜2万円程度の費用で済みます。自費診療のものの場合は15万円以上かかります。 |
| 治療期間 | 基本的には3〜6ヶ月くらいです。骨を増やす手術をしないといけない場合は1〜4ヶ月長くなります。 |
約1〜2ヶ月程度です。支えの歯の神経治療が入ってくると長引きます。 | 1〜2ヶ月くらいです。 |
| 手軽さ | 手術が必要です。手術の刺激は歯を抜く程度です。 | 歯を削るので、麻酔をしてお口をある程度長く開けないといけないです。 | 型どりが必要なので、えずく方はしんどい場合があります。 |
治療にあたっては、しっかり食事ができるかどうかを考えないといけないです。
満足に食事ができないと、栄養やカロリーが十分取れず、免疫力も下がりますし、様々な病気のリスクも出てきます。
また、高齢の方ですと、しっかり噛めないと、誤嚥による肺炎のリスクも出てきます。
入れ歯で味覚に影響が出る方もおられますが、そうすると食欲も低下してしまいます。
その為、しっかり噛めて、食事も楽しくなるような治療法を選んで下さい。
インプラントは、費用はかかりますが、入れ歯やブリッジのデメリットが克服できます。
歯は使い続けるもののため、手軽かどうかだけで決めるのではなく、本当に良い治療法かどうかを考えて選ぶことが大切です。
インプラントは入れ歯やブリッジと比べて食事を楽しみやすく、他の歯に負担をかけることもありません。
その代わり、歯茎を切開したり顎の骨に穴をあけたりといった外科手術が必要となりますが、それはほんの一瞬のことです。
安全な手術を行う医院であればご心配はありません。
後々のことや食生活への影響を考えると、インプラントが最良の選択と言えるでしょう。
予算や考え方なども含めて、自分に最も適した方法を選ぶことが大切です。

インプラントは、歯を失った部分に1本ずつ埋め込むのが基本ですが、必ずしも失った歯の本数と同じ数を入れる必要はありません。例えば、3本連続で歯を失った場合には、2本のインプラントで3本分の人工歯を支えることも可能です。
明確な上限はありませんが、一般的には上下合わせて20本程度まで入れられるとされています。ただし、顎の骨の状態や全身の健康状態によっては制限がかかる場合もあります。
すべての歯を失った場合には、「オールオン4」や「オールオン6」といった方法があり、片顎4〜6本のインプラントで全体を補うことができます。少ない本数で安定して噛めるよう設計されており、治療期間や費用の負担も軽減されます。
必要な本数はお口の状態やご希望によって変わりますので、カウンセリングで最適なプランをご提案いたします。
以下の条件に該当する方はインプラントがお勧めです。
インプラントは、特に「しっかり噛みたい」、「見た目を綺麗にしたい」という方におすすめの治療です。
なお、持病があってもしっかりコントロールされていれば治療可能なことも多いです。
安全のため、主治医の先生と相談し、術前に確認を行います。
また、服用しているお薬によって判断が変わる場合がありますので、必ずお知らせください。
骨が少ない場合でも、骨を作る処置や治療方法の工夫でインプラントが可能になることがあります。
ただし骨の量・質によって適応が変わるため、事前に歯科用CTでしっかり確認した上で、最適な方法をご提案します。
また、インプラントは自由診療のため、費用面でご負担が大きい場合は無理におすすめすることはありません。
お口と全身の状態、ご希望、予算も含めて一緒に最適な方法を検討します。

インプラントは年齢だけで可否を決める治療ではありません。
大切なのは健康状態と顎の骨の状態、そしてメンテナンスに通えるかです。
高齢でも条件が整えば治療可能な一方、若くてもお口や全身の状態によっては慎重な判断が必要な場合があります。
基本的に、インプラントの上限の年令制限はありません。
人間は生きている限り、骨が代謝(新しい骨と古い骨が入れ替わること)していますので、何歳でもできます。
ただ、ご高齢の方は持病を持っておられたり、骨があまりにも痩せておられたりすることもあり、必ずしもインプラントをお勧めするわけではありません。
そうでないご高齢の方にはやはりインプラントはお勧めです。
実際に当院では80代の方はもちろん、90代の方にも行っております。
医科の麻酔科医も常駐していますので手術も安全です。
人生100年時代ですので、できることならいくつになってもインプラントを行い、有意義な人生を送って頂きたいと思います。
下限の年令は、一般的には骨の成長が終わる18歳から行います。
女の子の場合は、16歳くらいで骨の成長が終わりますので、慎重に見極めて16歳程度でも行うこともあります。
インプラントというと若い人がするイメージはないかもしれませんが、事故などで歯を失ってしまった方などは大半の方がインプラントの治療を選択されます。
A. チタンからできています。チタンは人間(哺乳類)の体が異物として認識できない為に、骨と直接強固にひっつくからです。
A. インプラントは3つの要素から成り立っています。

1.インプラント本体:あごの骨に埋め込むチタンの人工の根っこです。フィクスチャーともいいます。
2.土台(アバットメント):歯のかぶせ物をかぶせる為の土台ですチタンでできてます。
3.かぶせ物(上部構造):人工の歯のかぶせ物です。主にセラミックを使います。
A. 歯周病の真っ最中の患者さんにインプラントをしても、インプラントが歯周病になる可能性があります。そのため歯周病の治療を受けていただいて歯茎の状態が改善してからインプラント治療を行います。
A. インプラントと差し歯を混同されてる方がおられます。確かに似てるのでわかりにくいですよね。差し歯はまだ歯の根っこが残っている場合の治療法でして、残った根っこに土台を入れて歯の強度を上げて、その上からかぶせ物をする治療法です。 インプラントは、歯が無い顎の骨の中に直接埋め込んで行います。
A. 条件が合えば可能です。骨の量が十分にあること、骨の質が柔らかすぎないこと、仮歯を連結して安定を確保できることなどが必要条件です。適応と判断できない場合は、通常の方法でインプラントと骨が結合する約3か月を待ってから歯を入れます。まずは検査で適応を評価し、最適な方法をご提案します。
インプラントについてのご質問・ご相談は
無料初診カウンセリングでドクターが詳しくお答えいたします。お気軽にご予約ください。