
オールオン6は、上あごまたは下あごに6本のインプラントを使って12本の歯を再建する治療法です。
インプラントに取り付ける上部構造は、12本の歯がセラミックなどの素材で作られ、すべてが連結して一体化した形状になっています。
全ての歯を失った方や、総入れ歯を使用している方に適用される治療法です。

この方法は、骨が薄い場合や柔らかい場合に用いられます。
オールオン6は、骨格が頑丈な欧米人向けに開発されたオールオン4を基に、あごの骨量が少ない傾向にある日本人にも適した治療法として改良されたものです。
手術当日に仮歯を装着することが可能です。抜歯からインプラントの埋入、そして仮歯の装着までを1日で完了できます。

主な違いは、使用するインプラントの本数が4本か6本かという点にあります。オールオン4では4本のインプラントを使用しますが、オールオン6では6本のインプラントを用いるため、安定性がさらに高まります。
オールオン4を希望されている患者様でも、骨の状態や強度によっては、より多くのインプラントが必要になることがあり、その場合にはオールオン6をご提案することがあります。骨の状態は患者様ごとに異なるため、その状況に応じて最適な治療法を選ぶことが重要です。
オールオン6の手術時間は、通常2〜3時間程度かかりますが、オールオン4と比較すると、施術時間が約1時間ほど長くなる傾向があります。これは、インプラントの本数が増えることによる手術の複雑さや、慎重な作業が必要になるためです。

オールオン6のメリットとして、まず最も大きなポイントは、たった1日で全ての歯が完成するという点です。静脈内鎮静を行う場合、患者さんは手術中は眠っている状態にあり、治療の過程で痛みや不快感を感じることはほとんどありません。
これにより、治療に対するストレスや不安が軽減され、患者さんにとっても負担が少なく、非常にスムーズに進行するという特徴があります。
※点滴麻酔(静脈内鎮静)はクリニックによって対応していない医院もございます。事前にお問い合わせください。
さらに、オールオン6は6本のインプラントを使用することで全ての歯を支えるため、個別にインプラントを入れる方法と比べると費用も大幅に抑えられます。この点は、インプラント治療を検討する患者さんにとって大きな魅力の一つとなっています。少ないインプラントで安定性の高い歯を作ることができるので、経済的にも優れた選択肢です。
加えて、治療が終わったその日から軽い食事をすることが可能で、普段の生活にすぐに戻ることができます。また、見た目も大幅に改善されるため、口元の美しさが回復し、患者さんの自信にもつながります。

残っている歯が大きな虫歯や進行した歯周病でぐらついている場合、無理に残しても十分に噛むことができないことがあります。オールオン6は、インプラントで固定式の歯を作るため、しっかり噛めるようになり、見た目も改善します。
総入れ歯が外れやすい、嘔吐反射が起きてしまう、しっかり噛めないなどのお悩みがある方に、オールオン6はインプラントで固定されるため、これらの問題を解消できます。
歯を失って長い時間が経過し、骨が溶けてしまった方や、長期間総入れ歯を使用して骨が痩せてしまった方には、オールオン6は有効です。これは、オールオン6が骨の状態に左右されにくいためです。
すべての歯を個別にインプラントで治療する場合、費用が大きくなりますが、オールオン6ではインプラントを6本に抑えられるため、費用を抑えることができます。
全身の健康状態によっては、オールオン6の施術が適さない場合もあります。
残っている歯はすべて抜く必要があります。ただし、悪化した歯を無理に残すよりも、抜歯してオールオン6を行う方が、最終的には良い結果を得られることがあります。
この治療は保険適用外のため、入れ歯に比べて費用がかかる点にご注意ください。
※症例紹介の費用は掲載時点の金額です。治療費用は改定される場合がありますので、最新の料金はお問い合わせください。





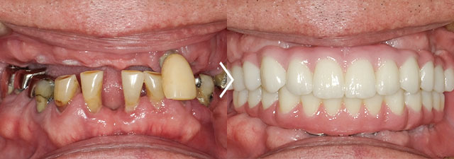
上顎をオールオン6、下顎がオールオン4で治療しました。
<上顎>オールオン6 3,100,000円(税抜)、インプラント二次手術10,000円(税抜)、サージカルステント作製30,000円(税抜)、仮歯(プロビジョナルレストレーション) アバットメント無10,000円(税抜)×6・アバットメント有30,000円(税抜)×6
<下顎>オールオン4 2,700,000円(税抜)、サージカルステント作製30,000円(税抜)、仮歯(プロビジョナルレストレーション) アバットメント無10,000円(税抜)×8・アバットメント有30,000円(税抜)×4
CT撮影料10,000円(税抜)
インプラントは自由診療なので保険適応の治療と比べて治療費が高額になります。
インプラントが骨と定着するのを待つ期間が必要なので治療期間が長くなります。
手術後に腫れ・痛みが出ることがあります。
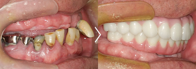
この患者様は上顎をすでにオールオン6で治療済みで、今回は下顎をオールオン6で治療しました。
オールオン6 セラミックタイプ ¥3,100,000(税抜)
インプラントは自由診療なので保険適応の治療と比べて治療費が高額になります。
インプラントが骨と定着するのを待つ期間が必要なので治療期間が長くなります。
手術後に腫れることがあります。
A. 上あごまたは下あごに6本のインプラントを埋入し、12本の人工の歯を固定する治療法です。すべての歯を失った方や、総入れ歯を使用している方に適しています。上部構造は連結した一体型で、しっかりとした噛み心地と自然な見た目を実現します。
A. オールオン6は6本のインプラントで支えるため、安定性が高い点が特徴です。骨量が少ない日本人のあごにも適しており、オールオン4よりも耐久性・固定力が向上します。骨の状態によっては、より安全性を重視してオールオン6を選択します。
A. はい、可能です。抜歯からインプラント埋入、仮歯の装着までを1日で行う即日治療に対応しています。静脈内鎮静を行う場合は麻酔で眠っている状態のため痛みはほとんどなく、当日から軽い食事も可能です。
※点滴麻酔(静脈内鎮静)はクリニックによって対応していない医院もございます。事前にお問い合わせください。
A. オールオン6の手術時間は通常2〜3時間程度です。費用は症例により異なりますが、全ての歯を個別にインプラントするより大幅に費用を抑えられます。インプラントの本数を6本に限定することで、安定性とコストのバランスを両立しています。
A. 歯がほとんどない方、総入れ歯が合わない方、骨がやせている方におすすめです。インプラントで固定されるため、入れ歯のズレや嘔吐反射の悩みも改善できます。全身状態によっては適応外となる場合もあるため、事前の検査と相談が必要です。
オールオンシックスについてのご質問・ご相談は無料初診カウンセリングでドクターが詳しくお答えいたします。お気軽にご予約ください。