当院の治療例・症例をご紹介いたします。
※症例紹介の費用は掲載時点の金額です。治療費用は改定される場合がありますので、最新の料金はお問い合わせください。
※点滴麻酔(静脈内鎮静)はクリニックによって対応していない医院もございます。事前にお問い合わせください。
【目次】
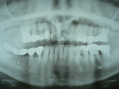
下顎右側5番に抜歯即時埋入をおこない、6番に通常埋入した症例
患者さん:50代女性
術前レントゲン写真

下顎右側AD67Gブリッジが動揺し、保存・再製が困難でした。
そのために抜歯して右下56部にインプラント治療を計画しました。

右下5番抜歯し、カルシテックインプラントφ3.75×11.5mm埋入しました。
初期固定を得るために可能な限り深く埋入しました。下顎管までの距離は1mmでストップしました。
右下6相当部はカルシテックインプラントφ3.75×10mm埋入
2本とも初期固定は良好でした。
今回の治療で注意したことは、5番の抜歯即時インプラント部には切開を加えず、
6の埋入時には歯槽頂切開と、56歯間乳頭部に縦切開を加えたことです。
今後、左上の56番にインプラント予定です。
治療方法
右側上顎臼歯部に2本のインプラントを埋入しました。
費用
インプラント ¥500,000(税抜) 内訳:¥250,000(税抜)×2
チタンアバットメント ¥120,000(税抜) 内訳:¥60,000(税抜)×2
オールセラミック冠 ¥200,000(税抜) 内訳:¥100,000(税抜)×2
リスク
インプラントは自由診療なので保険適用の治療と比べて治療費が高額になります。
インプラントが骨と定着するのを待つ期間が必要なので治療期間が長くなります。
手術後に腫れることがあります。
下顎All-on-4をおこなった一例
患者さん:60代男性
術前パノラマレントゲン写真

CT Panoramic Image of Mandible

画像所見
下顎臼歯部の骨量が不足している
骨幅は十分ある
下顎神経の前方ループが前方に張り出している。
切歯枝がみられる
CT sectional Images

術前口腔内写真

術中写真



術後パノラマX線写真

この患者さんは下顎の入れ歯が安定せず入れ歯を支えている歯も歯周病でぐらぐらでした。
今回、下顎にオールオンフォーを行い固定式の歯が入りました。
今後上もインプラント治療を計画していきます。
治療方法
オールオン4のオペを行いました。
費用
オールオン4 セラミックタイプ ¥2,700,000(税抜)
リスク
インプラントは自由診療なので保険適用の治療と比べて治療費が高額になります。
インプラントが骨と定着するのを待つ期間が必要なので治療期間が長くなります。
手術後に腫れることがあります。
患者さん:40歳男性
主訴:インプラント希望
画像所見 術前

CT画像

上顎右側6番相当部にインプラントを計画するも、上顎洞底骨の厚みが1mmほどしかありません。
そこでサイナスリフトを予定しました。
手術に先立って、根先病巣を持つ右上45番の抜歯をおこなった。
術後レントゲン写真

上顎右側大臼歯相当部に十分な補填剤の填入がおこなえました

術前

術後
インプラント治療にサイナスリフトを併用することのメリットは、上顎で高度に洞底骨が吸収しているケースでもインプラントを行うことができることです。しかし一方で、侵襲の大きい外科手術であり、術後の腫脹が強くでることがあります。人工骨が自家骨に置き換わるのに期間が必要で、治療が終了するのに1年近くかかることがあります。
また、喫煙や隣接歯に病巣がある場合は術後に感染がおこる場合があり、一般にあまり多用されている手術ではありません。しかし、しっかりとした診査・計画のもと丁寧な手術を行えば上記のようなデメリットはなくすことはできなくてもその程度を軽減させることはできると思います。
今回この患者さんにサイナスリフトをおこなうにあたって術前・術後の禁煙をお願いし、患者はきっちり術前2週間の禁煙を守っていただきました。
今後、6か月の治癒期間をおいて上顎右側46番相当部にインプラントを埋入し、インプラントブリッジを装着していく予定です。
治療方法
サイナスリフトを行いインプラントを2本埋入しました。
費用
サイナスリフト ¥280,000(税抜)×3
インプラント ¥500,000(税抜) 内訳:¥250,000(税抜)×2
チタンアバットメント ¥120,000(税抜) 内訳:¥60,000(税抜)×2
オールセラミック冠 ¥200,000(税抜) 内訳:¥100,000(税抜)×2
リスク
インプラントは自由診療なので保険適用の治療と比べて治療費が高額になります。
インプラントが骨と定着するのを待つ期間が必要なので治療期間が長くなります。
手術後に腫れることがあります。
上顎左側臼歯部にソケットリフトをおこないインプラントを埋入した一例
患者さん:60代女性


上顎左側臼歯部欠損
左上4番相当部にはインプラントの埋入に十分な骨量があったが、左上6番相当部の
上顎洞底骨の厚みは5mmほどであった。


右上4番相当部にはカルシテックインプラントφ3.75×10mmを通常埋入しました
左上6番相当部にはソケットリフトをおこない、上顎洞底を6mmほど挙上してインプラントを埋入しました。使用インプラントはカルシテックインプラントφ3.75×10mm
2本とも初期固定は良好であった。
今後、4か月の治癒期間をおいてから上部構造の製作を行う予定です。
治療方法
上顎左側にソケットリフトを行いインプラントを2本埋入しました。
費用
ソケットリフト ¥140,000(税抜) 内訳:¥70,000(税抜)×2
インプラント ¥500,000(税抜) 内訳:¥250,000(税抜)×2
チタンアバットメント ¥120,000(税抜) 内訳:¥60,000(税抜)×2
オールセラミック冠 ¥200,000(税抜) 内訳:¥100,000(税抜)×2
リスク
インプラントは自由診療なので保険適用の治療と比べて治療費が高額になります。
インプラントが骨と定着するのを待つ期間が必要なので治療期間が長くなります。
手術後に腫れることがあります。
上顎右側にソケットリフトを行いインプラント埋入
術前レントゲン写真


術前CT写真

上顎右側6番が動揺しており、抜歯をおこなった。
抜歯後、3か月の治癒期間をおいてインプラントをおこなった。
インプラントは上顎洞底骨の厚みが不足していたのでソケットリフトを併用しました。
埋入インプラントはカルシテックインプラントφ3.75×10mmを2本埋入しました。
術後写真


ソケットリフトにより、インプラント周囲に人工骨をつくることができました。
今後、4か月の免荷期間をおいてから上部構造の製作に移行する予定です。
治療方法
上顎右側にソケットリフトを行いインプラントを2本埋入しました。
費用
ソケットリフト ¥140,000(税抜) 内訳:¥70,000(税抜)×2
インプラント ¥500,000(税抜) 内訳:¥250,000(税抜)×2
チタンアバットメント ¥120,000(税抜) 内訳:¥60,000(税抜)×2
オールセラミック冠 ¥200,000(税抜) 内訳:¥100,000(税抜)×2
リスク
インプラントは自由診療なので保険適用の治療と比べて治療費が高額になります。
インプラントが骨と定着するのを待つ期間が必要なので治療期間が長くなります。
手術後に腫れることがあります。
術前レントゲン写真

上顎右側臼歯部56欠損
下顎は2週間前にインプラントを埋入している
CT所見

UR5 8.16mm/UR62.45mm
上顎洞底骨はかなり薄い
考察
右上5番欠損部の上顎洞底骨の厚みは8.16mmあり、インプラントの通常埋入は可能である。
しかし、6番欠損部は2.45mmしかなく、通常埋入はできない。
ソケットリフトで骨造成を検討するも、Summersの最近のソケットリフトの成功率は
洞粘膜の高さ 4mm以下 85.9%
洞粘膜の高さ5mm以上 95%
であり、2.45mmのケースは失敗の可能性がある。そこで今回、6番欠損部に関しては
サイナスリフトとインプラントの同時埋入を実施することにしました。
術後レントゲン写真


上顎右側5番欠損部にはカルシテックインプラントφ3.75×8mmを埋入。
上顎右側6番欠損部には、トラップドアー法でサイナスリフトアプローチし、
洞粘膜を挙上したのち同時埋入用のインプラントホールを形成し、
補填剤としてセラタイトを洞内に填入してからインプラントの埋入をおこなった。
インプラントホールの形成に、オステオトームを利用し、
骨質の改善をおこなったので埋入時初期固定が30Nほど得られた。
使用インプラントはカルシテックインプラントφ3.75×10mm
同時埋入の利点は手術が1回で済み、治癒期間が短縮できることですが、
初期固定が必要となります。
今回充分量の補填剤の填入と初期固定が得られたので6か月の治癒期間をおいて
上部構造の製作を行っていく予定です。
治療方法
右上臼歯部にサイナスリフトを行いインプラントを2本埋入しました。
費用
サイナスリフト ¥280,000(税抜)
インプラント ¥500,000(税抜) 内訳:¥250,000(税抜)×2
チタンアバットメント ¥120,000(税抜) 内訳:¥60,000(税抜)×2
オールセラミック冠 ¥200,000(税抜) 内訳:¥100,000(税抜)×2
リスク
インプラントは自由診療なので保険適用の治療と比べて治療費が高額になります。
インプラントが骨と定着するのを待つ期間が必要なので治療期間が長くなります。
手術後に腫れることがあります。
上顎右側臼歯部にインプラント3本埋入 ソケットリフト併用
術前レントゲン写真

上顎右側臼歯部にインプラント埋入予定
上顎洞底までの距離は6〜8mm
Sectional image

右上5番はノーベルテーパードグルービーRp×8mm
右上6番はノーベルテーパードグルービーRp×10mm+ソケットリフト
右上7番はノーベルテーパードグルービーRp×10mm+ソケットリフト
3本とも初期固定は良好であった(45N以上)
術後レントゲン写真

今後、右上臼歯の治癒をまってプロビジョナルを作成します。
それから下顎のインプラントの治療をはじめます。
治療方法
ソケットリフトを併用し、顎右側臼歯部にインプラントを3本埋入しました。
費用
ソケットリフト ¥140,000(税抜) 内訳:¥70,000(税抜)×2
インプラント ¥750,000(税抜) 内訳:¥250,000(税抜)×3
チタンアバットメント ¥180,000(税抜) 内訳:¥60,000(税抜)×3
オールセラミック冠 ¥300,000(税抜) 内訳:¥100,000(税抜)×3
リスク
インプラントは自由診療なので保険適用の治療と比べて治療費が高額になります。
インプラントが骨と定着するのを待つ期間が必要なので治療期間が長くなります。
手術後に腫れることがあります。
下顎前歯部にインプラントを4本埋入し、即時荷重を行った一例
主訴: しっかり噛めるようになりたい。義歯でしゃべりにくいのを改善したい。
所見: 上下顎部分床義歯装着 左側上顎45番動揺・右側78番動揺
レントゲン画像

右下4番相当部にノーベルリプレイスグルービーRp×13mm
右下2番相当部にノーベルリプレイスグルービーNp×13mm
左下1番相当部にノーベルリプレイスグルービーRp×13mm
左下3番相当部にノーベルリプレイスグルービーNp×13mm
左下6番相当部にノーベルリプレイスグルービーRp×10mm を埋入し左下6以外は十分な初期固定が得られたので即時負荷を行いました。
治療方法
下顎前歯部にインプラントを4本埋入しました。
費用
インプラント ¥1,000,000(税抜) 内訳:¥250,000(税抜)×4
チタンアバットメント ¥240,000(税抜) 内訳:¥60,000(税抜)×4
オールセラミック冠 ¥400,000(税抜) 内訳:¥100,000(税抜)×4
リスク
インプラントは自由診療なので保険適用の治療と比べて治療費が高額になります。
インプラントが骨と定着するのを待つ期間が必要なので治療期間が長くなります。
手術後に腫れることがあります。
両側サイナスリフトをおこない、6か月間の治癒期間をおいてインプラント両側同時埋入をおこなった1例
術前CT画像・レントゲン画像

上顎両側臼歯部には十分な骨量をみとめない。

上顎両側臼歯部には十分な骨がなかったので、6か月前に両側サイナスリフトをおこなった。
術後CT画像・レントゲン画像


上顎右側臼歯部 / 上顎左側臼歯部
両側上顎臼歯部にカルシテックインプラントφ3.75×13mmを2本づつ埋入しました。
サイナスリフトで造成した骨はやわらかく、通常埋入では十分な初期固定が得られないのでアダプテーションテクニックで骨密度をあげてインプラントを埋入しました。
右上の5番相当部のみ十分な初期固定がありましたが、他の部分は15〜20N程度でした。
今後3か月のインテグレーションの期間をおいて、上部構造の製作をおこなっていきます。
治療方法
左右の奥歯にサイナスリフトを行い、6ヶ月後にインプラントを4本埋入しました。
費用
サイナスリフト ¥300,000(税抜)
インプラント ¥1,000,000(税抜) 内訳:¥250,000(税抜)×4
チタンアバットメント ¥240,000(税抜) 内訳:¥60,000(税抜)×4
オールセラミック冠 ¥400,000(税抜) 内訳:¥100,000(税抜)×4
リスク
インプラントは自由診療なので保険適用の治療と比べて治療費が高額になります。
インプラントが骨と定着するのを待つ期間が必要なので治療期間が長くなります。
手術後に腫れることがあります。
右側上顎に2本のインプラントを埋入
患者さん:60代女性
主訴:インプラントでしっかりかみたい。見た目きれいな歯を入れたい。
所見

上下顎に部分床義歯が装着されています。
全顎的に歯周病が進行しています。
全顎的な治療が必要な症例です。

本日は右側上顎臼歯部に2本のインプラントを埋入しました。
今後、右側下顎、左側下顎、上顎前歯部とインプラントを埋入していく予定です。
治療方法
右側上顎臼歯部に2本のインプラントを埋入しました。
費用
インプラント ¥500,000(税抜) 内訳:¥250,000(税抜)×2
チタンアバットメント ¥120,000(税抜) 内訳:¥60,000(税抜)×2
オールセラミック冠 ¥200,000(税抜) 内訳:¥100,000(税抜)×2
リスク
インプラントは自由診療なので保険適用の治療と比べて治療費が高額になります。
インプラントが骨と定着するのを待つ期間が必要なので治療期間が長くなります。
手術後に腫れることがあります。