当院の治療例・症例をご紹介いたします。
※症例紹介の費用は掲載時点の金額です。治療費用は改定される場合がありますので、最新の料金はお問い合わせください。
※点滴麻酔(静脈内鎮静)はクリニックによって対応していない医院もございます。事前にお問い合わせください。
【目次】
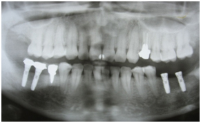
患者さん:40代女性
左下にインプラントを2本入れました。


インプラントを2本埋入しています。
特に問題なく埋入できました。
良く噛めるようになり、患者さんは大変満足されたご様子でした。
左下にインプラントを2本埋入しました。
インプラント ¥500,000(税抜) 内訳:¥250,000(税抜)×2
チタンアバットメント ¥120,000(税抜) 内訳:¥60,000(税抜)×2
オールセラミック冠 ¥200,000(税抜) 内訳:¥100,000(税抜)×2
インプラントは自由診療なので保険適用の治療と比べて治療費が高額になります。
インプラントが骨と定着するのを待つ期間が必要なので治療期間が長くなります。
手術後に腫れることがあります。
上顎7本抜歯を行い静脈内鎮静下でAll-on-4を行った1例
患者さん:50代女性
臨床所見:上顎右上13、左上23がP4で動揺が著しい。右上56と左上4は若干動揺していた。
術前パノラマレントゲン写真

術後レントゲン写真

ノーベルグルービーテーパードを5本埋入
両側後方インプラントはRP16mm
前方インプラントはRP10mm2本とNP13mm1本
5本とも初期固定が十分とれたので、
予め用意していたプロビジョナルで即時荷重した
手術時間は麻酔導入をいれて2時間30分でした。
患者はあっという間に終わったとのこと。
もちろん痛みもなく、喜んでおられました。
治療方法
静脈内鎮静下でオールオン4(オールオン5)のオペを行いました。
費用
オールオン5 セラミックタイプ ¥2,900,000(税抜)
静脈内鎮静 ¥80,000(税抜)
リスク
インプラントは自由診療なので保険適用の治療と比べて治療費が高額になります。
インプラントが骨と定着するのを待つ期間が必要なので治療期間が長くなります。
手術後に腫れることがあります。
下顎左側6番の1壁性骨欠損部にGBRをおこない、5か月経過後インプラントを埋入した症例
患者さん:30代男性
●画像

H20.9 左下6番に歯根のう胞があり、抜歯・のう胞摘出を行った。
抜歯後の歯槽骨は1壁性の骨欠損状態になっており、インプラントの通常埋入は困難と判断し、
2週間後にGBRをおこなった。
GBRは骨補填剤としてオスフェリオンを用い、TRメンブレンで固定した。

GBR術後5か月たってからインプラントを埋入しました。
補填剤はほとんど自家骨に置き換わっており、頬舌的に皮質骨をともなった十分な骨幅ができていた。
ドリルしたときの骨の固さは若干やわらかく、初期固定は20Nくらいでした。
カルシテックインプラントのφ3.75×13mmを埋入しました。
今後、3か月の治癒期間をおいて上部構造の製作を行う予定です。
治療方法
GBRを行い、5ヶ月後にインプラント手術を行いました。
費用
GBR ¥80,000(税抜)
インプラント ¥250,000(税抜)
チタンアバットメント ¥60,000(税抜)
オールセラミック冠 ¥100,000(税抜)
リスク
インプラントは自由診療なので保険適用の治療と比べて治療費が高額になります。
インプラントが骨と定着するのを待つ期間が必要なので治療期間が長くなります。
手術後に腫れることがあります。
左下のインプラント
患者さん: 女性 30代
主訴: 左下のインプラント
左下の奥に乳歯があり、噛むと痛いとのことです。永久歯がなく生え変わりをしなかった歯です。
術前


乳歯を抜いてインプラントにしました。
術後



その日に仮歯を入れて噛めるようにしました。
治療方法
左下の臼歯部にインプラントを1本埋入しました。
右奥歯のうち1本は即時埋入を行っています。
費用
インプラント ¥250,000(税抜)
チタンアバットメント ¥60,000(税抜)
オールセラミック冠 ¥100,000(税抜)
リスク
インプラントは自由診療なので保険適用の治療と比べて治療費が高額になります。
インプラントが骨と定着するのを待つ期間が必要なので治療期間が長くなります。
手術後に腫れることがあります。
上顎左側サイナスリフト
患者さん: 男性 40代
初診時CT画像

上顎にインプラントを8本埋入する予定ですが、臼歯部に骨が不足しています。
上顎前方部には以前にインプラントを埋入し、テックがはいっています。
術後レントゲン写真

左上56番相当部にサイナスリフトをおこないました。
使用補填剤はセラタイト(L+M)6g

拡大像
サイナスリフトは上顎の骨量が不足している症例でインプラント治療を行うのに有効な手段でありますが、患者に与える侵襲が大きいです。また、補填剤が自家骨に置き換わるのに時間がかかり、上部構造が入るのに1年近くかかる場合があります。その間ずっと取り外しの義歯を使ってもらうとかなり不自由なので、今回あらかじめ前方部にインプラントを3本埋入し、前歯部のみで咀嚼できる状態にしてサイナスリフトにふみきりました。
今後右上臼歯部にソケットリフトをおこなっていく予定です。
治療方法
上顎左側にサイナスリフトを行いました。
今後はソケットリフトを行っていく予定です。
費用
サイナスリフト ¥280,000(税抜)
リスク
インプラントは自由診療なので保険適用の治療と比べて治療費が高額になります。
インプラントが骨と定着するのを待つ期間が必要なので治療期間が長くなります。
手術後に腫れることがあります。
患者さん:60代女性
主訴:奥歯でしっかりかみたい
術前CT画像

右上臼歯部にインプラントを予定するも上顎洞底骨の厚みが2〜4mmと不足しており、
サイナスリフトが必要と判断しました。

H20.8 右上臼歯部にサイナスリフト施術

右上臼歯部に人工骨が填入されている

術後5か月 骨様不透過像がみられる

21.2.12インプラント埋入
補填した部分にインプラントが埋入されている。
使用インプラントはカルシテックインプラントφ3.75×13mm
右上5相当部は初期固定良好でしたが、右上67部は不十分でした。
3〜4か月の治癒期間をおいて補綴へ移行していく予定です。
治療方法
右上奥歯にサイナスリフトを行い、インプラントを3本埋入しました。
費用
サイナスリフト ¥300,000(税抜)
インプラント ¥750,000(税抜) 内訳:¥250,000(税抜)×3
チタンアバットメント ¥180,000(税抜) 内訳:¥60,000(税抜)×3
オールセラミック冠 ¥300,000(税抜) 内訳:¥100,000(税抜)×3
リスク
インプラントは自由診療なので保険適用の治療と比べて治療費が高額になります。
インプラントが骨と定着するのを待つ期間が必要なので治療期間が長くなります。
手術後に腫れることがあります。
患者さん:女性
主訴:左下奥歯をブリッジにしているが、インプラントにしてほしい
術前写真

左下臼歯部にCD6の延長ブリッジが装着されている
術後写真

ブリッジを除去してインプラントを2本埋入しました。
使用インプラントはカルシテックφ3.75×10mmとφ3.75×8mmです。
2本とも初期固定は良好で、平行に埋入できました。
左下6相当部のインプラントと下歯槽管とが接しているようにみえますが、開口部は頬側に向いているので実際は離れています。
治療方法
左下奥歯のブリッジを除去してインプラントを2本埋入しました。
費用
インプラント ¥500,000(税抜) 内訳:¥250,000(税抜)×2
チタンアバットメント ¥120,000(税抜) 内訳:¥60,000(税抜)×2
オールセラミック冠 ¥200,000(税抜) 内訳:¥100,000(税抜)×2
リスク
インプラントは自由診療なので保険適用の治療と比べて治療費が高額になります。
インプラントが骨と定着するのを待つ期間が必要なので治療期間が長くなります。
手術後に腫れることがあります。
患者さん:女性
主訴:入れ歯が合わないのでインプラントをいれてほしい
所見:両側遊離端欠損
術前写真

右下臼歯部は以前に埋入済み 左下67番に埋入予定
術後写真

左下にプラトンインプラントφ3.7×10mmを2本埋入
患者さん:40代女性
歯を抜いて2か月たってからインプラントオペをしました。
骨がかなり再生していました。

ドリリングの方向や位置を確認しています。

問題なくインプラントを入れることができました。

抜歯して2カ月後、インプラント埋入手術を行いました。
インプラント ¥250,000(税抜)
チタンアバットメント ¥60,000(税抜)
オールセラミック冠 ¥100,000(税抜)
インプラントは自由診療なので保険適用の治療と比べて治療費が高額になります。
インプラントが骨と定着するのを待つ期間が必要なので治療期間が長くなります。
手術後に腫れることがあります。
患者さん:40代女性
術前

右上 骨がなかったので骨を作る手術をします。
術後
骨を作ってインプラントを入れたところです。

右上 骨がなかったので骨を作る手術をします。
治療方法
左右の奥歯にインプラントを合計4本埋入しました。
右奥歯のうち1本は即時埋入を行っています。
費用
GBR ¥80,000(税抜)
インプラント ¥250,000(税抜)
チタンアバットメント ¥60,000(税抜)
オールセラミック冠 ¥100,000(税抜)
リスク
インプラントは自由診療なので保険適用の治療と比べて治療費が高額になります。
インプラントが骨と定着するのを待つ期間が必要なので治療期間が長くなります。
手術後に腫れることがあります。