当院の治療例・症例をご紹介いたします。
※症例紹介の費用は掲載時点の金額です。治療費用は改定される場合がありますので、最新の料金はお問い合わせください。
※点滴麻酔(静脈内鎮静)はクリニックによって対応していない医院もございます。事前にお問い合わせください。
【目次】
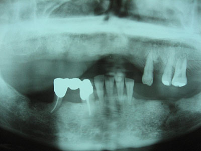
左下奥歯のインプラントの手術
患者さん:40代女性
左下奥歯のインプラントの手術を行いました。右下奥歯は以前にしたものです。
術前
最初見たときは顎の骨も薄く神経までも近く大変そうだと思いました。
術前レントゲン撮影

術中
神経を傷つけないようにレントゲン写真を撮りながら慎重にドリリングしました。
術後
少し短めのインプラントを埋めることにしました。
術後レントゲン撮影

特に問題なく埋入することができてよかったと思います。
治療方法
右下奥歯を以前インプラントで治療した患者さんです。
今回は左下奥歯にインプラントを2本埋入しました。
費用
インプラント ¥500,000(税抜) 内訳:¥250,000(税抜)×2
チタンアバットメント ¥120,000(税抜) 内訳:¥60,000(税抜)×2
オールセラミック冠 ¥200,000(税抜) 内訳:¥100,000(税抜)×2
リスク
インプラントは自由診療なので保険適用の治療と比べて治療費が高額になります。
インプラントが骨と定着するのを待つ期間が必要なので治療期間が長くなります。
手術後に腫れることがあります。
奥歯のブリッジが壊れたためインプラントに
患者さん:50代男性
右上の奥歯のブリッジが壊れた為インプラントをする事にしました。
インプラントを入れるところの顎の骨が十分な高さがないので骨を作る手術も同時にしています。
術前

術前レントゲン撮影

術中

ドリルであけた穴から骨を作る材料を入れています。
術後レントゲン撮影

問題なく骨を作ることができました。
治療方法
骨の高さが十分でなかったため、GBRで骨を作りました。
骨が十分に出来てからインプラントを1本埋入しています。
費用
GBR ¥80,000(税抜)
インプラント ¥250,000(税抜)
チタンアバットメント ¥60,000(税抜)
オールセラミック冠 ¥100,000(税抜)
リスク
インプラントは自由診療なので保険適用の治療と比べて治療費が高額になります。
インプラントが骨と定着するのを待つ期間が必要なので治療期間が長くなります。
手術後に腫れることがあります。
歯を抜いてすぐにインプラントを埋めるという方法
患者さん:40代男性
右下奥歯の歯の根が折れていたことにより残すことが難しくインプラントになりました。
今回は歯を抜いてすぐにインプラントを埋めるという方法で行いました。
術前レントゲン撮影


術中の方向を確認するために小さいレントゲン写真を撮りました。
術後レントゲン撮影

歯を抜いたあと少し骨が吸収するので深めに入れてあります。
深さ、位置ともにいいところに埋められました。
治療方法
右下5、6、7番に3本のインプラントを植立し、即日仮歯を入れました。
その後、上顎にもインプラントを6本埋入し、上下の歯でしっかりと噛めるようになりました。
費用
インプラント ¥250,000(税抜)
チタンアバットメント ¥60,000(税抜)
オールセラミック冠 ¥100,000(税抜)
リスク
インプラントは自由診療なので保険適用の治療と比べて治療費が高額になります。
インプラントが骨と定着するのを待つ期間が必要なので治療期間が長くなります。
手術後に腫れることがあります。
下顎左右に4本埋入、静脈鎮静
患者さん:40代 男性
初診時

12/3ope時

埋入位置、角度、良好。
12/17ope時

12/3同様、沈静下でopeしました。
前回ope時の抜歯も行い、良好な歯肉の治療を確認しました。
ope後はやはり「楽ですね」とのこと。
治療方法
静脈鎮静下で下顎左右に4本インプラントを埋入しました。
費用
インプラント ¥1,000,000(税抜) 内訳:¥250,000(税抜)×4
チタンアバットメント ¥240,000(税抜) 内訳:¥60,000(税抜)×4
オールセラミック冠 ¥400,000(税抜) 内訳:¥100,000(税抜)×4
静脈内鎮静 ¥80,000(税抜)
リスク
インプラントは自由診療なので保険適用の治療と比べて治療費が高額になります。
インプラントが骨と定着するのを待つ期間が必要なので治療期間が長くなります。
手術後に腫れることがあります。
ソケットリフトと即時負荷
患者さん:60代女性
術前レントゲン撮影

本日は右上6番を抜歯と同時にソケットリフト(カルシテック+β-TCP)し、右上3、4番にノーベルバイオケア社リプレイスグルービーを用いて即時負荷をかける手術を行ないました。
術後レントゲン撮影

全て初期固定は良好。(40Ncm以上)
ソケットリフトした箇所は歯肉下にしばらく眠らせておきますが、右上7番のFCKを外し、3、4インプラントと連結して仮歯を装着。Ope直後から右側で食事できる状態です。
後日、根が割れてしまっている左上奥を抜歯し、ソケットリフトを行なった後、インプラントを埋入する予定です。
Ope直後から機能・審美共に高い満足が得られ、患者様も喜んでおられました。
右上6番にソケットリフトをし、インプラントを埋入しました。
右上3番、4番にインプラントを2本埋入しました。
ソケットリフト ¥70,000(税抜)
インプラント ¥750,000(税抜) 内訳:¥250,000(税抜)×3
チタンアバットメント ¥180,000(税抜) 内訳:¥60,000(税抜)×3
オールセラミック冠 ¥300,000(税抜) 内訳:¥100,000(税抜)×3
インプラントは自由診療なので保険適用の治療と比べて治療費が高額になります。
インプラントが骨と定着するのを待つ期間が必要なので治療期間が長くなります。
手術後に腫れることがあります。
手術前は緊張しておられましたが・・
患者さん:40代男性
術前レントゲン撮影

かなり緊張されてましたが・・・
術後レントゲン撮影

50分で終わり、「大したことなかった」と笑っておられました。
治療方法
右下奥歯にインプラントを2本埋入しました。
費用
インプラント ¥500,000(税抜) 内訳:¥250,000(税抜)×2
チタンアバットメント ¥120,000(税抜) 内訳:¥60,000(税抜)×2
オールセラミック冠 ¥200,000(税抜) 内訳:¥100,000(税抜)×2
リスク
インプラントは自由診療なので保険適用の治療と比べて治療費が高額になります。
インプラントが骨と定着するのを待つ期間が必要なので治療期間が長くなります。
手術後に腫れることがあります。
抜歯即時と即時負荷
患者さん:70代 女性
初診時

主訴は左下が痛く、上の入れ歯がグラついてかめないとのこと。
ope後

下顎前歯は即時負荷。
キレイな仮歯が入り、患者様も満足気でした。
上顎はマグネットを用いた入れ歯になります。
インプラントを土台にしてのマグネット義歯は低コストで有効な治療です。
治療方法
上顎にインプラントを2本埋入してマグネットデンチャーを取り付けました。
下顎にインプラントを5本埋入しました。
費用
インプラント ¥1,750,000(税抜) 内訳:¥250,000(税抜)×7
チタンアバットメント ¥300,000(税抜) 内訳:¥60,000(税抜)×5
オールセラミック冠 ¥500,000(税抜) 内訳:¥100,000(税抜)×5
マグネットデンチャー ¥440,000(税抜)
リスク
インプラントは自由診療なので保険適用の治療と比べて治療費が高額になります。
インプラントが骨と定着するのを待つ期間が必要なので治療期間が長くなります。
手術後に腫れることがあります。
all-on-4(静脈鎮静)
患者さん:70代 女性
術前レントゲン撮影

右下の前歯2本は歯周病で抜かざるを得ませんでした。
術後レントゲン撮影

本日は静脈沈静下でall-on-4のopeです。良好なポジションに埋入できました。
初期固定も十分で術直後から固定式の仮義歯を装着しました。
違和感も無くいきなり食事ができるので、喜んでらっしゃいました。
このように静脈鎮静を用いると、知らぬ間に手術も終わり、なおかつall-on-4なので固定式の義歯が入るという、患者様にとっては非常に有用な技術だと感じています。
ope時間 100分
治療方法
下顎の前歯2本を抜歯し、オールオン4で治療しました。手術は静脈内鎮静下で行っております。
費用
オールオン4 セラミックタイプ ¥2,700,000(税抜)
静脈内鎮静 ¥80,000(税抜)
リスク
インプラントは自由診療なので保険適用の治療と比べて治療費が高額になります。
インプラントが骨と定着するのを待つ期間が必要なので治療期間が長くなります。
手術後に腫れることがあります。
ソケットリフト
患者さん:60代 男性
初診時

上顎左右の奥歯に3本埋入する計画をたてました。
1回目の手術後

保存不能歯を抜歯したのですが、病巣が大きすぎて1箇所は病巣部の掻爬(そうは)及びソケットプリザベーションを行ってます。
2回目の手術後

1回目のopeから20週後、CTにて確認後、待時していた箇所のソケットリフトを行いました。思った以上に骨ができており、初期固定も良好でした。
治療方法
上顎左右に合計3本のインプラントを埋入しました。
一箇所はソケットリフトを行っています。
費用
ソケットリフト ¥70,000(税抜)
インプラント ¥750,000(税抜) 内訳:¥250,000(税抜)×3
チタンアバットメント ¥180,000(税抜) 内訳:¥60,000(税抜)×3
オールセラミック冠 ¥300,000(税抜) 内訳:¥100,000(税抜)×3
リスク
インプラントは自由診療なので保険適用の治療と比べて治療費が高額になります。
インプラントが骨と定着するのを待つ期間が必要なので治療期間が長くなります。
手術後に腫れることがあります。
all-on-4+2とマグネット
患者さん:大阪市阿倍野区 60代 女性
術前レントゲン撮影

上下総入れ歯の患者様です。
1回目の手術後

all-on-4+2
垂直的な骨量は十分だったのですが、水平的骨量が全域にわたり2mm〜4mmとかなり厳しい状況でした。
前方4本はドリルをほとんど使用しないスプリットクレストという手技を用いています。
左右の大臼歯部にソケットリフトを2本追加しています。
2回目の手術後

こちらも下顎全域にわたってエッジ状に光っており、なおかつ骨吸収によってオトガイ孔がほぼむき出している部分(画面向かって右)もあり、難しいケースでした。
スプリットコントロールとオーギュメーターを使いオトガイ孔を避け、向かってやや左に4本埋入しました。
下顎はこの後、マグネットを用いた義歯になります。
ope時間70分。
治療方法
1回目の手術では上顎左右の大臼歯部にソケットリフトを行い、オールオン6で治療しました。
2回目の手術では下顎にインプラントを4本埋入してマグネットを用いた義歯を装着します。
費用
1回目の手術の治療費
オールオン6 セラミックタイプ ¥3,100,000(税抜)
ソケットリフト ¥140,000(税抜) 内訳:¥70,000(税抜)×2
リスク
インプラントは自由診療なので保険適用の治療と比べて治療費が高額になります。
インプラントが骨と定着するのを待つ期間が必要なので治療期間が長くなります。
手術後に腫れることがあります。